“It felt like I had barbed wire in my hip,” says Georgina Monti, describing the pain she’d endured before undergoing surgery to address an injury that had unknowingly worsened over the years. The 30 year old from the United Kingdom, who spent her winters in the Dominican Republic kitesurfing and freediving, knew it was time to seek care when she started struggling to do the things she’s most passionate about.
“At first, I put it off as an old injury that was causing me trouble. I continued to power on until I physically couldn't stand on a surfboard anymore – something I’ve been able to do my whole life. That was the defining moment I knew something was seriously wrong,” says Georgina. She would ultimately have a hip resurfacing surgery with a ceramic implant at Cleveland Clinic London, which is one of the first hospitals in the world to provide this alternative to metal-on-metal hip resurfacing.
Reflecting on the injury that's led her to where she is today, Georgina says her family would travel to the beaches in Cornwall, United Kingdom, every year. That’s where she started swimming, then bodyboarding, then surfing.
“My parents would ask my brother and me if we wanted to go to an amusement park for vacation, and we'd say, ‘No, we just want to go surfing,’” laughs Georgina, who was only 7 years old when she took up sports.
As the years went by, her love for the water only grew stronger. And one day while wakeboarding, she took a hard fall – dislocating her hip when she was around 18 years old.
“I went to the hospital, they put my hip back in place and I was in the water three months later,” says Georgina.

Before the hip injury progressed, Georgina spent her time surfing, riding horses, freediving and more. (Courtesy: Georgina Monti)
Thinking the injury was behind her, Georgina began kitesurfing and eventually started competing on an international level. Continuing to spend her winters in the Dominican Republic, her typical days were spent surfing, swimming, freediving – even playing tennis and riding horses. That’s until her late 20s, when she began noticing stiffness and pain in the same hip she’d dislocated years prior.
“It’s normal to get a few aches and pains after some intense exercise, but the pain I was experiencing became more intense. I then started to feel very restricted in my mobility. I was training horses at the time, and when I got off them, I found myself barely able to walk,” says Georgina.
She eventually got to the point where the searing pain kept her up at night and she struggled to tie her own shoes. Soon, not being able to walk without crutches, she had to give up all sports.
“Being an athlete, I've always been very active. So, when I suddenly couldn’t participate in sports anymore, I lost my sense of purpose. It became not only a physical battle, but a mental one as well,” says Georgina.
When the pain drove Georgina to get an MRI, it showed her femoral head – the rounded top of the thigh bone that fits into the hip socket – had collapsed due to avascular necrosis. This condition occurs when the blood supply to the bone is disrupted, causing bone tissue to die. In her case, the damage likely stemmed from dislocating her hip years ago.

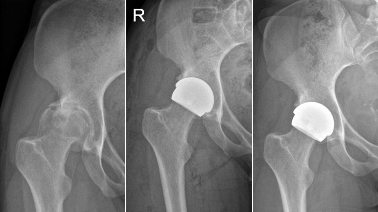
Georgina's hip joint before and after surgery with the ceramic hip resurfacing in place. The X-rays show the pelvis and spine returning to alignment. (Courtesy: Cleveland Clinic)
“Now I needed to find somebody to fix it, and I kept hearing about hip replacements, which no 30 year old wants to hear,” says Georgina.
Looking for another option, she came to Cleveland Clinic London to meet with consultant orthopaedic surgeon Professor Justin Cobb. He offered an innovative alternative to a total hip replacement: A hip resurfacing procedure using a ceramic implant.
“While a great option, a total hip replacement is not the best approach for everyone. For instance, it can reduce the amount of exercise a patient can take. So, despite not having any more pain following the procedure, it’s not recommended they return to activities like running, for example,” says Prof Cobb. “With hip resurfacing, patients retain the femoral head and neck, allowing them to resume the activities they participated in with their healthy, native hip.”

Instead of replacing the entire hip joint, a resurfacing surgery involves replacing only the hip socket with a prosthetic piece. The ceramic implant Georgina received is tailored specifically for patients with smaller hips and pelvises. (Courtesy: Cleveland Clinic)
Georgina came to Prof Cobb at the right time. For years, the only available option was metal-on-metal hip resurfacing, which manufacturers currently recommend only for patients with larger femoral heads – typically found more often in men. This design is less suitable for individuals with smaller bone structures, including many women and others with narrower hips, who are more likely to experience pain and require early revision after the procedure. In response to this limitation, Prof Cobb and a team of developers created an innovative ceramic hip resurfacing implant called the H1, tailored specifically for patients with smaller hips and pelvises.
“The ceramic implant is designed to address the limitations of metal-on-metal implants, expanding hip resurfacing access to patients who previously wouldn’t have been candidates for it,” says Prof Cobb, adding a 2023 clinical study found women who received the ceramic implant had postoperative biomechanics similar to healthy women who didn’t have hip surgery.
Confident in Prof Cobb and determined to regain her sense of purpose, Georgina underwent the hip resurfacing procedure with this ceramic implant, which is one of the first non-metal resurfacing implants in the world to receive regulatory approval.

Prof Cobb and team performing the hip resurfacing surgery at Cleveland Clinic London using the ceramic implant. (Courtesy: Cleveland Clinic)
“After surgery, Prof Cobb told me everything went great. Then he lifted my leg and brought my knee toward my chest – something I hadn’t been able to do for at least two years because of my pain and limited mobility,” says Georgina, who had her hip resurfacing in August 2025.
Although it will take time for Georgina to fully recover and heal, she can now walk comfortably again without pain. She’s also sleeping restfully and seeing improvements in her mobility.
“Before, I couldn’t simply move my legs outwards and inwards – there was just no range of motion. Now, I’m back to happily doing that already with my exercise physiologist. The early improvements have been drastic, and it’s shocking to see how much healing I’ve done so far,” says Georgina.

Georgina with Prof Cobb during a follow-up appointment after the hip resurfacing surgery. (Courtesy: Georgina Monti)
“Bone healing is a slow process. But once it heals, it's the only tissue in the whole body you can't tell it was ever injured. Georgina’s already seeing improvements, but she’ll see the real benefits in the months and years to come,” says Prof Cobb. He adds he fully expects Georgina to return to running, surfing and all the activities she spent her whole life doing before this injury. And to extend successful outcomes like this to other patients, Prof Cobb and the Cleveland Clinic London team will train surgeons around the world to perform hip resurfacing using this ceramic implant.
As she continues recovering, Georgina is enjoying time with her family and appreciating the simple things, like taking her dog Lucy for a walk. She’s also training with her exercise physiologist seven days a week and remains committed to getting back to her passions.
“I’d been assuming for so long that my one leg was stiffer than the other, but it was actually because of an injury I didn't realize had been progressing over the years. So, once I get back into all of my sports, I think it's going to be a whole other level of enjoyment,” says Georgina.

Georgina and her family are enjoying seeing her progress after the hip resurfacing surgery. (Courtesy: Georgina Monti, left; Cleveland Clinic, right)
Since opening up about her journey on social media, others in similar situations have contacted Georgina, wondering what to do. Her advice is simple: don’t wait to get checked out.
“I put off having a scan longer than I should have partly because I didn't want to know. But getting it checked out meant I could actually fix the problem. Don’t be scared to take that step. There’s so much they can do now for hip preservation, and it turned out to be the best possible thing I could have done,” says Georgina.
Related Institutes: Orthopaedic & Rheumatologic Institute